市民张先生(化名)
因腰腹部剧烈疼痛
在海宁市中医院就诊
原以为只是常见的输尿管结石
没想到
病症根源竟藏在脖子上
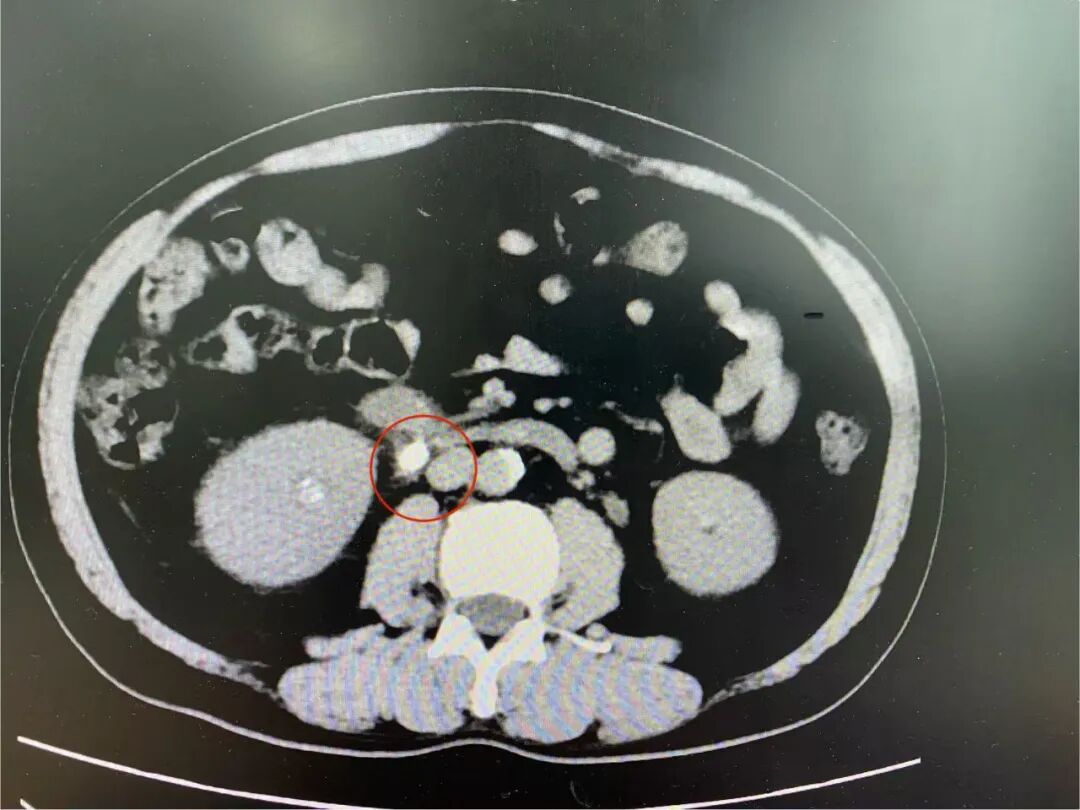
经泌尿系CT等检查,张先生被确诊为输尿管结石。
↑标红处为结石
检查结果显示,张先生血钙指标为3.39mmol/L,远超正常范围(2.11-2.52mmol/L),这一异常引起了泌尿外科医生的高度警惕。
输尿管结石多由代谢异常、尿路梗阻等因素引发,而不明原因的高钙血症,很可能是内分泌系统出了问题,并非单纯的结石问题。
为明确病因,泌尿外科联合甲状腺外科开展会诊。甲状腺外科医生结合患者的血钙、甲状旁腺激素等多项检查结果,以及颈部超声等影像学检查,最终确诊张先生的输尿管结石,是由甲状旁腺腺瘤引发的原发性甲状旁腺功能亢进所致。
甲状旁腺腺瘤会导致甲状旁腺激素分泌过多,进而促进骨骼中的钙释放到血液中,造成高钙血症;血液中钙含量过高,多余的钙会随尿液排出,与尿液中的草酸等物质结合,形成尿路结石。
明确病因后,科室为患者制定了个性化的手术方案:先由泌尿外科为患者实施输尿管结石碎石取石术,快速缓解患者的疼痛症状,解决尿路梗阻问题;待患者身体条件平稳后,再由甲状腺外科为其实施甲状旁腺腺瘤切除术,从根源上解决高钙血症的问题,防止结石复发。手术过程十分顺利,患者术后恢复良好。术后复查,患者的血钙、甲状旁腺激素指标均恢复至正常范围,经过一段时间的术后护理,患者康复出院。
日常生活中,很多人出现腰腹疼痛、确诊尿路结石后,往往只关注结石的治疗,却忽略了背后的病因排查,殊不知像甲状旁腺腺瘤这类内分泌疾病,正是尿路结石的“隐形元凶”之一。医生提醒市民,若出现不明原因的腰腹部疼痛、反复尿路结石,或伴有持续乏力、骨关节酸痛、口干多饮、食欲不振等症状时,切勿仅当作普通结石处理,应及时到正规医院就诊,完善血钙、甲状旁腺激素等相关检查,排查甲状旁腺疾病等潜在病因,做到早发现、早诊断、早治疗。
编辑:曹雅严
责编:傅昊
审核:陆黎阳

