天不怕地不怕,就怕冠脉有钙化
这是心血管医学领域的一句老话
冠脉钙化是什么
是钙盐在冠状动脉血管壁上异常沉积的现象
让血管“坚如磐石”
诸如心绞痛、心肌梗死等
一连串心血管疾病警报都将响起
坚硬的钙化斑块让球囊无法撑开
故传统的球囊扩张也难以发挥用途
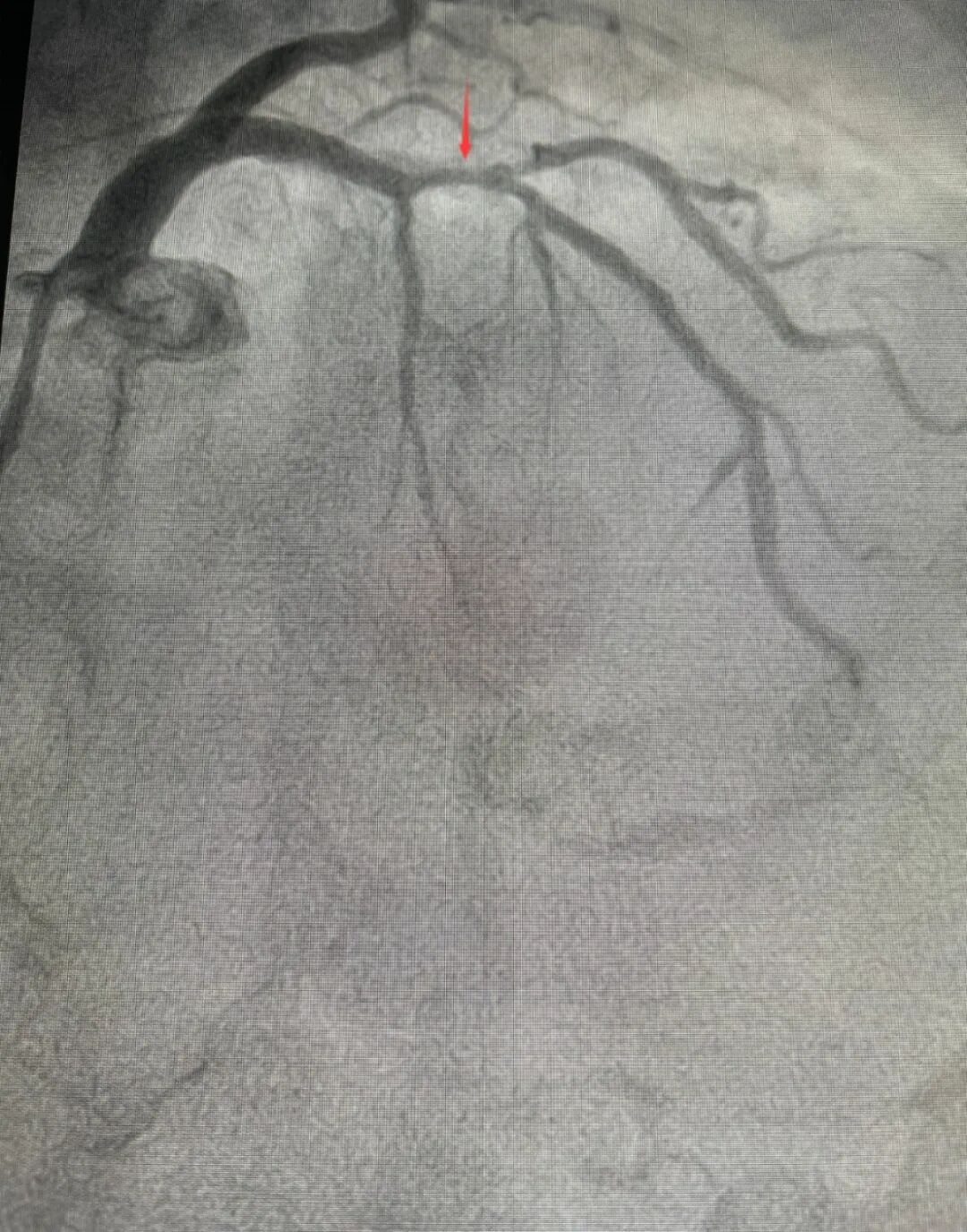
82岁的张大妈(化名)就遇到了冠脉钙化的问题。张大妈被胸闷胸痛困扰了十余年,近日症状加剧,她在家人陪同下来海宁市中医院就诊。
在十二病区(心血管内科)经冠脉造影检查,接诊医生发现张大妈左前降支近中段存在严重弥漫钙化病变,最狭窄处达90%。
这是一个不小的问题。心血管内科团队决定为其实施经皮冠状动脉介入治疗(PCI)治疗,这是一种经心导管技术疏通狭窄甚至闭塞的冠状动脉管腔,从而改善心肌的血流灌注的治疗方法。
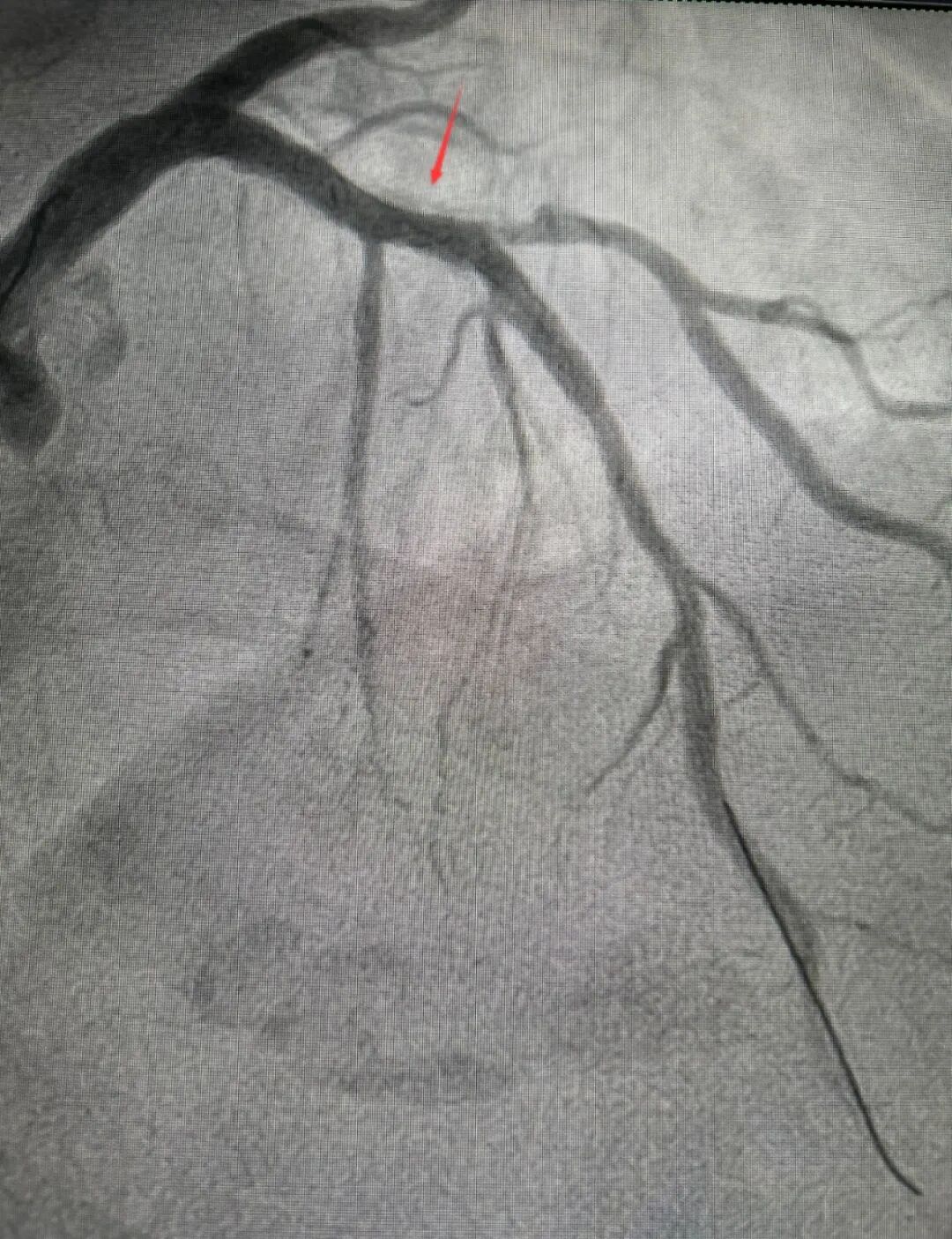
术中,医生发现由于张大妈动脉钙化严重,血管通道狭窄,普通预扩张球囊与超声导管均无法穿越病变。但好在术前做了充足准备,面对这一情况团队立即采用备选方案——冠状动脉旋磨术。手术成功开通被钙化斑块堵塞的血管,术后张大妈症状明显缓解,恢复良好。
是当前心血管疾病治疗领域的“利器”,被称为心血管医生的“金刚钻”。针对严重的钙化病变,该技术采用带有钻石颗粒的旋磨头,依据“差异切割”原理,精准消除血管壁上的“石斑块”,同时减少对血管壁的损伤。对于严重狭窄伴钙化或纤维化的病变,旋磨术通过物理方法有效祛除斑块,提高治疗效果,降低远期再狭窄率。
对于患者而言,该类手术可避免开胸搭桥,减少术中损伤,恢复时间更快。冠状动脉旋磨术的优势体现在其对硬性钙化病变的处理能力、支架植入的辅助作用以及在复杂病变中的灵活应用。这使得它在传统球囊扩张术无法奏效的情况下,成为一种有效的补充治疗手段。
复杂冠脉手术是衡量心血管专科技术水平的重要标尺,直接关系到重症患者的生命预后。此次该院冠状动脉旋磨技术的成功开展,不仅为患者打通了“生命之路”,更彰显该院在处理复杂钙化病变方面取得重要突破。
未来,海宁市中医院心血管内科将继续紧跟技术前沿,不断突破技术瓶颈,以更精准、更安全的治疗方案,为更多心血管疾病患者筑牢“心”的防线。
编辑:曹雅严
责编:傅昊
审核:陆黎阳

