初为人父母的“意外发现”
一个新生命的降临,总是给家庭带来无尽的喜悦。然而,当新手爸妈在欣喜之余,发现宝宝的双手、双足竟比正常孩子多了一个手指和脚趾时,那份担忧与焦虑可想而知。这份“甜蜜的负担”,促使他们带着仅 6个月大的宝宝来到海宁市人民医院(浙大一院海宁院区)手足外科,寻求专业帮助。
就诊时照片:
精准诊断:明晰畸形,制定个性化方案
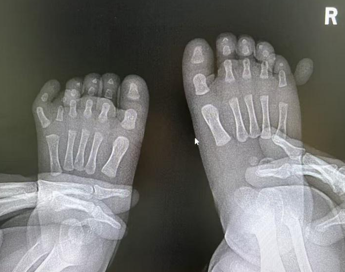
经过细致的体格检查和 X线检查,医生明确诊断患儿为双手、双足均多指(趾)畸形。影像结果显示,左足多出的第 6趾内部存在骨性结构,与正常的跖骨相关联,这增加了手术的复杂性,并非简单的软组织切除。
面对这样幼小的患者和涉及四个肢体的手术,手足外科团队深感责任重大。他们深知,手术不仅要切除赘生指(趾),更要兼顾术后手足的功能与美观,这关乎孩子一生的生活质量。经过周密讨论,团队为宝宝量身定制了精准的手术方案:多指、多趾切除术 +左足第五跖趾关节成形术。
术前 X 线检查
匠心手术:毫米之间的精细操作
宝宝的组织器官无比娇嫩,血管、神经细如发丝,这对主刀医生的技术、耐心和经验都是极大的考验。
手术团队凭借精湛的技术,稳准轻巧地进行操作:
精准切除:在保留正常指(趾)体功能与外观的前提下,切除四肢所有多生指(趾)。
功能重建:针对左足有骨性连接的第 6趾,精心施行跖趾关节成形术,重建了正常的足部骨骼结构与关节关系,为宝宝未来平稳行走打下坚实基础。
美容缝合:最大限度地减少疤痕,确保宝宝未来手足外形美观。
术后照片
圆满结局:术后两周,迎来崭新篇章
在团队的精心呵护下,小宝宝平稳度过了围手术期。术后两周复查,伤口愈合良好,顺利拆线。
令人欣喜的是,宝宝的手指和足趾活动自如,抓握、蹬踏均不受影响。手足外形恢复理想,几乎看不出手术的痕迹。这个结果,让一直悬着心的家长终于舒展了眉头,露出了安心的笑容。这次成功的手术,为宝宝的未来清除了身体上的障碍,也卸下了全家心理上的负担。
术后复查 X线:
早干预,为孩子铺就健康成长路
多指(趾)畸形是常见的先天性畸形之一。海宁市人民医院骨科副主任俞张昊锐提醒,一旦发现,应尽早在医生指导下选择合适时机进行手术矫正。婴幼儿时期组织再生能力强,早期手术不仅利于功能与外观的恢复,更能避免孩子成长过程中产生心理困扰。
这次成功的手术,不仅展现了海宁市人民医院手足外科在婴幼儿畸形矫正领域的技术水平,更体现了我们守护每一个小生命健康未来的初心与承诺。
祝愿宝宝健康成长,
用这双灵巧的小手和稳健的双足,
迈出自己精彩人生的每一步!
专家介绍
(点击图片一键挂号)
编辑:曹雅严
责编:傅昊
审核:陆黎阳

