高速突发胸痛
近日,一名长途货车司机在驾驶途中突发胸痛,情况危急。经过海宁市中医院紧急救治,司机转危为安,脱离生命危险。
这不仅得益于医疗团队的快速反应与卓越的救治能力,也有司机师傅对于胸痛的认知与正确应对。
司机自救
事发当日,司机王师傅(化名)正驾驶货车行驶在高速公路海宁段上。途中,他突然感到胸前区阵阵发闷,并伴有疼痛和呼吸困难。王师傅没有心存侥幸继续行驶,而是立即将车平稳地驶入最近的服务区,随即报警求助,说明了自己的身体状况和所在位置。接到警情后,警方迅速联动120急救中心,救护车火速赶往服务区,将王师傅送至海宁中医院进行救治。
紧急手术治疗
到达急诊科后,医院立即启动胸痛中心应急流程。接诊医生初步诊断王师傅为“急性心肌梗死”。
急性心肌梗死,简称心梗,是由于冠状动脉急性闭塞导致心肌缺血坏死的一种严重心血管疾病。其典型症状包括胸骨后或心前区的压榨性疼痛、闷痛,可能伴有出汗、恶心、肩背部放射痛等,患者随时会有生命危险。
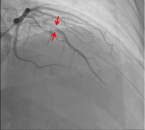
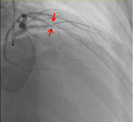
秉持着“时间就是心肌,时间就是生命!”的原则,心血管内科团队迅速到位,在与患者家属进行紧急沟通后,立即为其进行冠状动脉造影检查。造影结果证实了医生的判断——王师傅的心脏重要血管发生了严重狭窄闭塞,其左前降支近中段起完全闭塞。
通过“经皮冠状动脉介入治疗”(PCI),医护人员成功将一枚支架植入堵塞的血管中,恢复了心脏的血液供应。PCI是当前治疗急性心梗最有效的方法之一,能够迅速开通闭塞血管,挽救濒死心肌。
症状解除,体征平稳,心有余悸
术后,王师傅胸闷胸痛的症状即刻得到缓解,生命体征恢复平稳。他在病房中心有余悸地表示:“现在想想都后怕,多亏了自己当时没有硬撑,也感谢警察、120和医院的医生护士,是他们救了我一命!”
当下,急性心梗并非老年病,近年来呈现年轻化趋势。预防心梗,关键在于保持良好的生活习惯,合理膳食、适量运动、戒烟限酒、心理平衡等都能有效预防心梗。同时,定期进行体检,及时发现并控制高血压、糖尿病等慢性疾病,也是预防心梗的重要措施。
王师傅的成功自救,也提醒广大市民朋友应掌握基本的心肺复苏技能,个人或他人突发心梗时,立即拨打120,患者保持安静,减少活动,以减轻心脏负担。
编辑:曹雅严
责编:傅昊
审核:陆黎阳

