近日,在嘉兴市医学会举办的“2025年嘉兴市超声医学知识竞赛”中,海宁市中医院超声科医师林心怡凭借扎实的专业理论功底与出色的临床分析能力,从众多参赛者中脱颖而出,荣获个人赛一等奖。这份荣誉的背后,不仅是她个人勤勉钻研的成果,更承载着海宁市中医院超声科以精准诊断服务临床,守护患者健康的责任与使命。

近年来,海宁市中医院超声科持续推进亚专科建设、注重新技术引进与人才培养。科室选派林心怡赴复旦大学附属中山医院专项进修心脏超声及经食道超声心动图,她以“优秀进修员”荣誉圆满完成学习,并将“经食道超声心动图”这一技术成功落地,目前已顺利开展20例。
揭开突发脑梗背后的真相
52岁的沈先生(化名)突发脑梗,影像检查明确显示“桥脑梗死”,但病因成谜。
没有高血压、糖尿病、房颤
血管超声也未见异常
一个平日健康的人
为何会突发脑梗?
这不仅困扰着患者与家属,也成为摆在医生面前的难题。常规经胸心超提示,患者心脏房间隔可能存在一个极细微的“卵圆孔未闭”。然而图像朦胧,难以定论。这是一个隐蔽的“心眼”,却可能是血栓潜入大脑的通道。若不能证实,患者将面临复发风险;若不能精准评估,治疗便无从谈起。
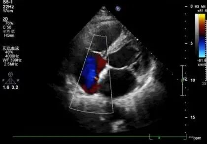
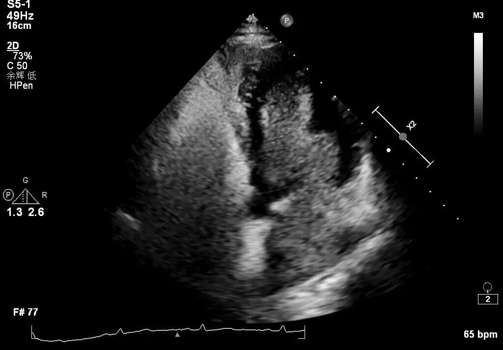
经胸心超
右心声学造影
诊断的明确,为患者打开了根治的希望之门。沈先生后续进行了卵圆孔未闭封堵术,从此摆脱了脑中风的复发阴影。
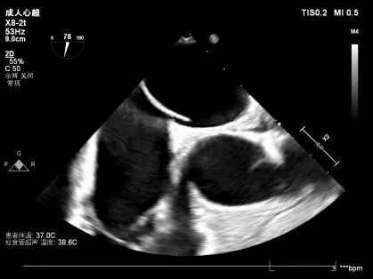
经食道超声心动图通过将超声探头经食道置入,紧贴心脏后方探查,有效避开胸壁与肺部组织干扰,获取更为清晰的心脏深层图像。
其在心脏瓣膜病、心源性卒中、心内血栓、感染性心内膜炎、先天性心脏病等复杂心脏疾病的诊断、评估及介入治疗随访中,具有重要临床价值,已成为提升我院心血管疾病综合诊疗水平的关键技术之一。
超声科承担全院各类超声诊断任务,致力于推进技术精细化与诊断精准化建设。科室在心脏、血管、腹部、妇产、浅表器官等多个超声亚专业方向积累了丰富经验,近年来更在介入超声、心脏超声、盆底超声等前沿领域取得长足进步,为临床诊疗工作提供了有力保障。
超声科将继续秉持“精医求精”的理念,持续推进技术创新与服务提升,为患者提供更优质、更精准的医疗服务。
编辑:曹雅严
责编:傅昊
审核:陆黎阳

